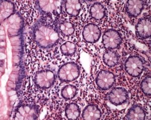
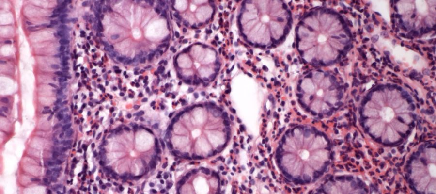
La disentería se conoce por una inflamación del intestino por la cual el paciente especialmente en el colon, puede presentar mucosa y sangrado en heces.
Los principales causas de la disentería han sido, falta de higiene y saneamientos que por lo general se da en ambientes propicios para multiplicación de parásitos que se ingieren por medio de alimentos y agua que están contaminados; infectando de tal manera las personas,
Infección bacteriana de la disentería
Por lo general se ha causado por infección bacteriana o protozoos. También, por infestaciones de parásitos.
Otras causas; las más importantes en la disentería han sido la infección como bacteria del género “Shigella” y por una ameba conocida como “Entamoeba Histolytica”
Cuando se causa por Shigella se suele llamar disentería bacilar. Tal nombre es por el bacilo de Shigella. También, cuando se ha causado por ameba tomará el nombre de “Disentería mediana”
Síntomas de disentería
Los síntomas de tal enfermedad como el primer punto podría ser la fiebre; ella se puede producir bruscamente alcanzando unos 40 grados centígrados.
En efecto, han afectado dolores musculares, ya sea fatiga. Acosa con sangrado anal el cual es síntoma predominante, cólicos , pus, moco, excremento generado por el colon.
Tratamientos

La terapia de rehidratación; se recomienda consumir mucho líquido. Los vómitos y diarreas traen como resultados pérdidas en fluidos los cuales tendrían que ser reemplazadas para poder evitar la deshidratación.
Si la diarrea o vómitos son profusa, el equipo médico procederá en recomendar reemplazos por vías intravenosas.
Otro tratamiento para la enfermedad han sido los antibióticos. Los expertos comentan; si fuese posible administración de medicamentos para matar causas de disentería deberá ser retenida; ello hasta que las pruebas en laboratorio detecten si la enfermedad se ha causado por bacteria o amiba.
Si ello no es posible el paciente podría recibir combinaciones en antibióticos y amebicidas.
Este es un tipo de diarrea el cual afecta particularmente los niños. Se tienen por general dos tipos de diarreas; las agudas que duran tiempo promedio menos de 14 días; las diarreas persistentes son las que duran más de 14 días.
En un niño una diarrea que duré más de 14 días puede ser fatal; podría llevarlos a la muerte si no se maneja de manera adecuada. Para evitar ello antes de llegar a partes de tratamientos o rehabilitación lo más crucial es parte preventiva del médico.
En términos generales esperamos haya servido tal tema; es bueno dejar claro que si se padece en niños es necesario acudir al médico.